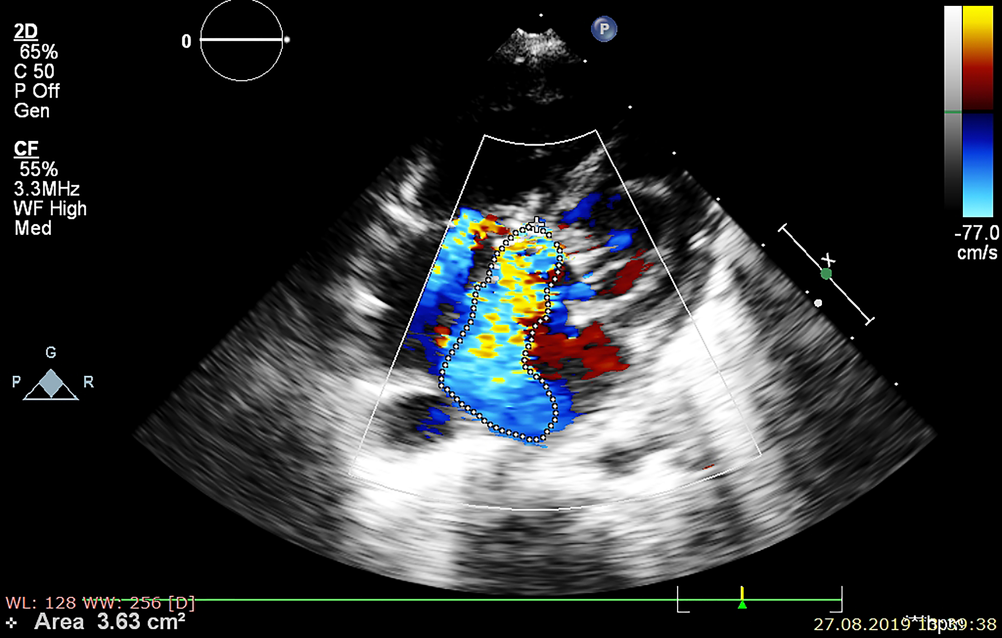
Translation: Comparative study of transthoracic echocardiography and transesophageal echocardiography combined with right heart acoustic imaging for the diagnosis of patent foramen ovale (PFO), and evaluation of the optimal diagnostic strategy.

卵圆孔未闭 (PFO) 诊断:经胸超声心动图、经食道超声心动图和右心声学造影的对比研究

原文地址: https://www.cveoy.top/t/topic/qqi5 著作权归作者所有。请勿转载和采集!

免费AI点我,无需注册和登录