安全问答

安全问答是一个知识全球问答,包含丰富的问答知识

首页 常规 游戏 娱乐 科技 程序员

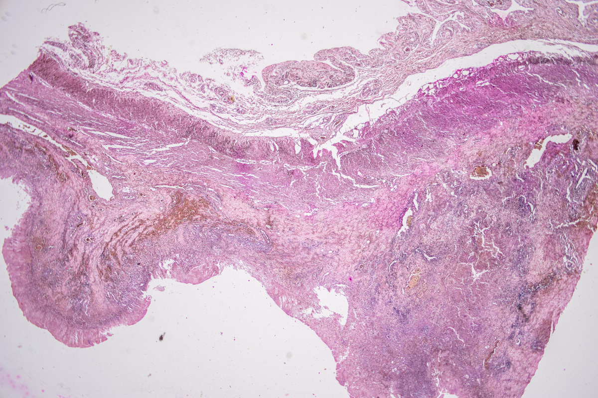
子宫肌瘤特殊类型:富细胞性、静脉内平滑肌瘤、播散性腹膜平滑肌瘤

  • 日期: 2028-09-06
  • 标签: 常规

子宫肌瘤的特殊类型包括:

  • '富细胞性'
  • '静脉内平滑肌瘤'
  • '播散性腹膜平滑肌瘤'
子宫肌瘤特殊类型:富细胞性、静脉内平滑肌瘤、播散性腹膜平滑肌瘤

原文地址: https://www.cveoy.top/t/topic/nZjv 著作权归作者所有。请勿转载和采集!

免费AI点我,无需注册和登录

  • 上一篇: 人工智能岩性预测的起源与应用:从20世纪80年代到今天
  • 下一篇: 如何帮助同性恋兄弟:写给于凡的信

© 2019 • 2025 - 安全问答 站长邮箱:wxgpt@qq.com    ICP备案/许可证号:豫ICP备2024104334号-2