肠癌淋巴结转移:存活率与影响因素
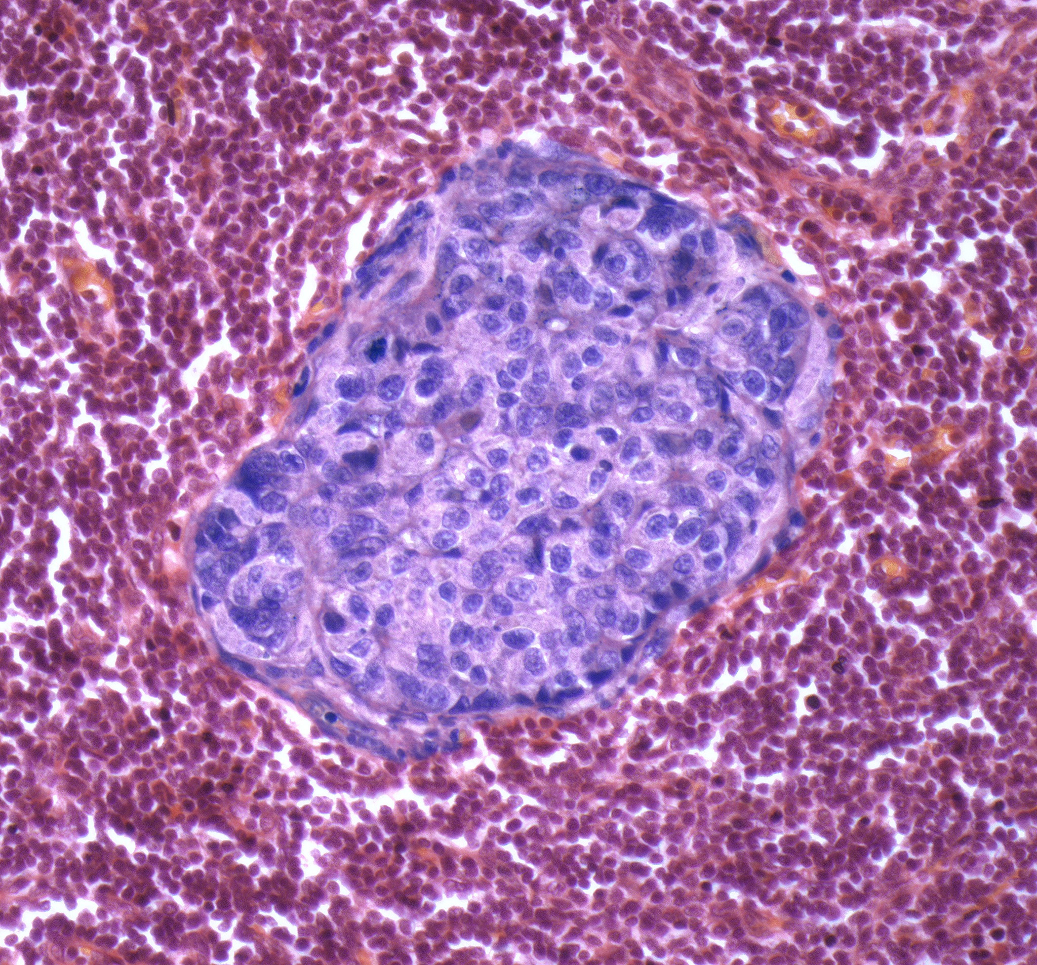
肠癌淋巴结转移的存活率取决于多种因素,包括患者的年龄、肿瘤的类型和分级、转移的部位和数量、治疗方式等。一般来说,早期发现并及时治疗的患者存活率较高,而晚期发现或治疗不及时的患者存活率较低。根据不同研究的数据,肠癌淋巴结转移的5年生存率可在20%至80%之间。因此,对于肠癌患者来说,早期发现、早期治疗非常重要。
原文地址: https://www.cveoy.top/t/topic/nWB7 著作权归作者所有。请勿转载和采集!
安全问答是一个知识全球问答,包含丰富的问答知识
肠癌淋巴结转移的存活率取决于多种因素,包括患者的年龄、肿瘤的类型和分级、转移的部位和数量、治疗方式等。一般来说,早期发现并及时治疗的患者存活率较高,而晚期发现或治疗不及时的患者存活率较低。根据不同研究的数据,肠癌淋巴结转移的5年生存率可在20%至80%之间。因此,对于肠癌患者来说,早期发现、早期治疗非常重要。
原文地址: https://www.cveoy.top/t/topic/nWB7 著作权归作者所有。请勿转载和采集!