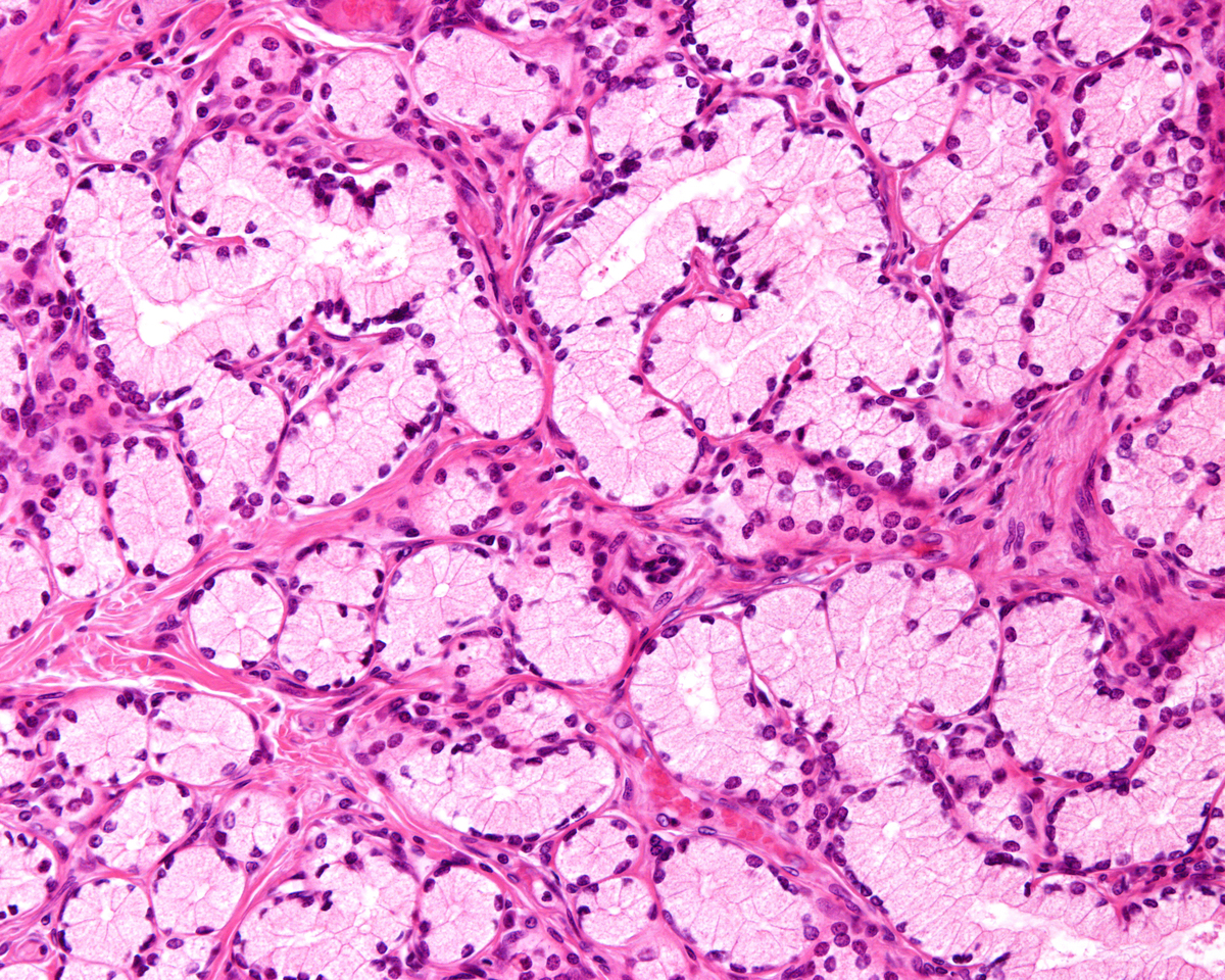
根据实验结果,可以得出以下结论:肝细胞癌细胞与正常肝细胞在形态和生长特征上存在明显差异,肝细胞癌细胞呈现出不规则、多形性及大量核分裂现象等特点,而正常肝细胞呈现出规则、单形性及较少核分裂现象等特点。此外,肝细胞癌细胞在免疫组化染色中常呈现出AFP、CD133等肝细胞癌标志物的阳性表达,而正常肝细胞则不表达或表达较少。因此,肝细胞癌细胞与正常肝细胞可以通过形态学特征、生长特征及免疫组化标记等方面进行有效区分。

肝细胞癌细胞与正常肝细胞的鉴别方法

原文地址: https://www.cveoy.top/t/topic/nV27 著作权归作者所有。请勿转载和采集!

免费AI点我,无需注册和登录