子宫肌瘤如何区分恶性? - 详细指南

子宫肌瘤是育龄女性最常见的良性肿瘤之一。然而,由于子宫肌瘤和恶性肿瘤的症状相似,因此很难区分两者。本文旨在全面概述子宫肌瘤和恶性肿瘤的临床特征、影像学特征和病理学特征,以帮助临床医生区分两者。

临床特征

子宫肌瘤通常无症状,其存在通常在常规盆腔检查中偶然发现。然而,一些女性可能会出现症状,例如月经量多、盆腔疼痛、性交时不适以及泌尿系统症状。恶性肿瘤也可能出现类似的症状,但通常更严重且持续存在。此外,患有恶性肿瘤的女性可能会出现体重减轻、疲劳和其他全身症状。

影像学特征

超声检查是诊断子宫肌瘤最常用的影像学方法。在超声检查中,子宫肌瘤通常表现为轮廓清晰的圆形或椭圆形肿块,质地均匀。它们通常比周围子宫肌层更强回声。另一方面,恶性肿瘤可能呈不均匀或不规则形状,并伴有坏死或囊性改变。磁共振成像 (MRI) 也可以提供有关子宫肌瘤和恶性肿瘤的位置、大小和特征的有价值的信息。

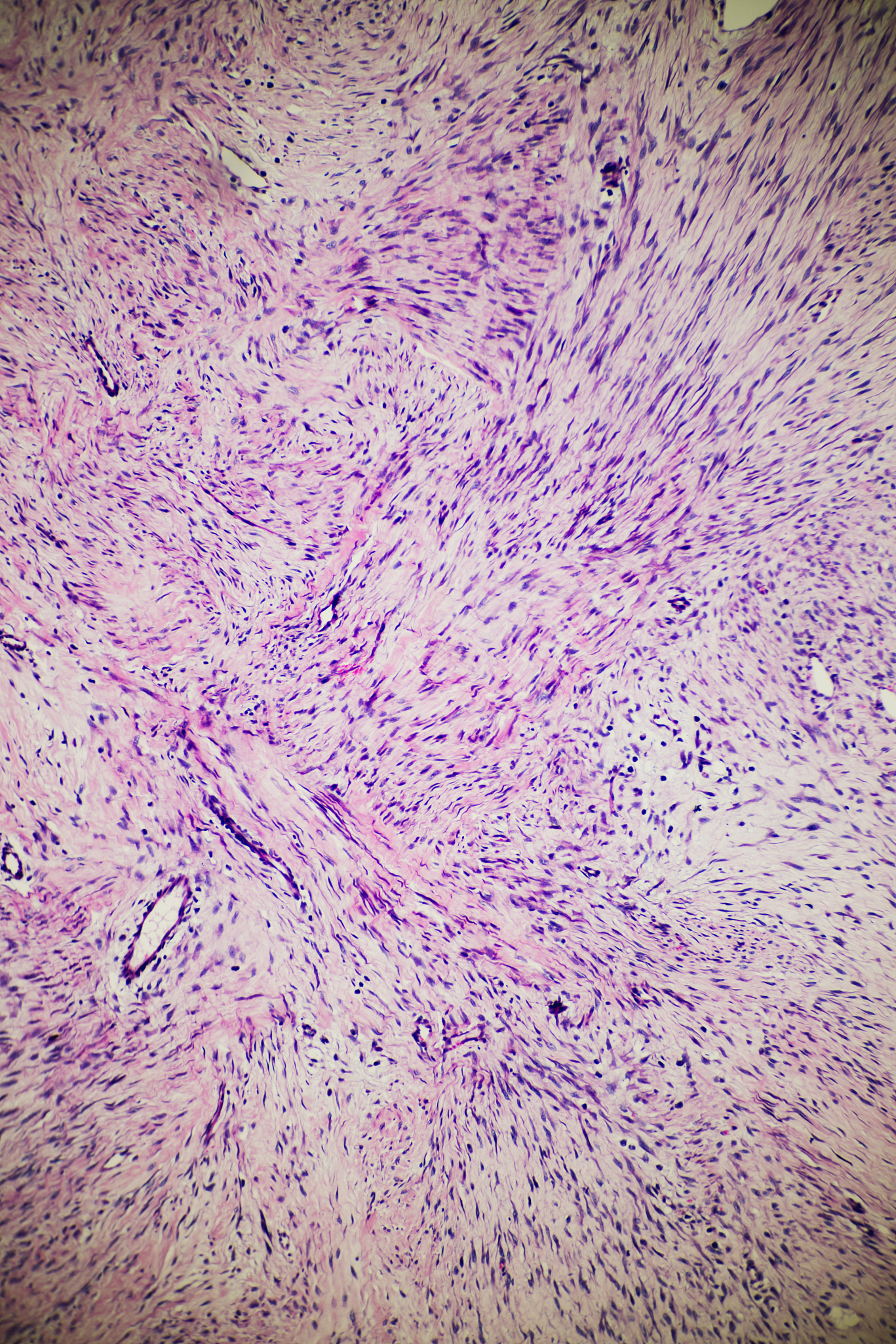
病理学特征

对子宫肌瘤和恶性肿瘤的明确诊断需要组织病理学检查。子宫肌瘤由平滑肌细胞和成纤维细胞组成,呈旋涡状排列。它们通常界限清楚,有包膜,没有侵入周围组织。另一方面,恶性肿瘤的特征是存在异常细胞,这些细胞表现出恶性特征,例如核异型、有丝分裂增多和侵入周围组织。

结论

总之,区分子宫肌瘤和恶性肿瘤需要结合临床、影像学和病理学特征。虽然子宫肌瘤通常是良性的,不需要治疗,但恶性肿瘤需要及时诊断和治疗以改善预后。因此,临床医生必须了解这两种疾病的鉴别特征,并在必要时将患者转诊进行进一步评估。

子宫肌瘤如何区分恶性? - 详细指南

原文地址: https://www.cveoy.top/t/topic/lz7n 著作权归作者所有。请勿转载和采集!

免费AI点我,无需注册和登录