肝癌和肝血管瘤的鉴别需要通过影像学检查和病理学检查来确定。

影像学检查:肝癌通常表现为不规则形状、边缘模糊、内部均匀或不均匀的肿块,常伴有周围肝组织的破坏和瘤周血管的异常。而肝血管瘤表现为圆形或椭圆形,边缘光滑,内部均匀或有囊性变化,常伴有周围肝组织的压迫和局部血管扩张。

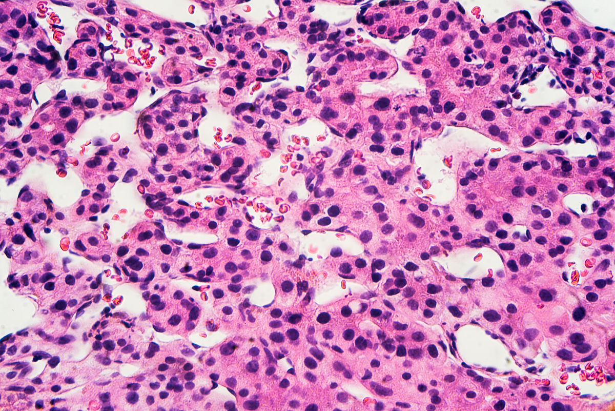
病理学检查:肝癌为恶性肿瘤,病理学检查可见肿瘤细胞的浸润和破坏周围正常肝组织,可见细胞异型性、核分裂象等恶性肿瘤的特征。而肝血管瘤为良性肿瘤,病理学检查可见肝血管壁增厚,血管内充盈血液,无肿瘤细胞浸润和病变征象。

总之,肝癌和肝血管瘤在影像学和病理学上有明显的区别,需要通过专业医生的检查和判断来进行鉴别。

肝癌和肝血管瘤的区别:影像学和病理学鉴别

原文地址: https://www.cveoy.top/t/topic/lR22 著作权归作者所有。请勿转载和采集!

免费AI点我,无需注册和登录