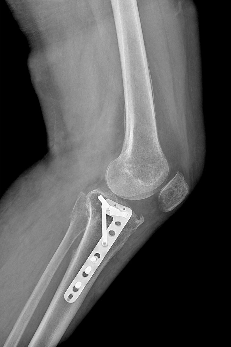
右胫骨平台粉碎性骨折是一种严重的骨折类型,常常需要进行切开复位内固定术来治疗。这种手术的重要性体现在以下几个方面:

  1. 恢复关节稳定性:胫骨平台是膝关节的重要组成部分,骨折会导致关节不稳定,影响正常的运动功能。切开复位内固定术可以将骨折的碎片复位并固定,恢复关节的稳定性,有助于恢复正常的关节功能。

  2. 促进骨折愈合:切开复位内固定术可以将骨折的碎片正确复位并固定,使骨折端的血供得到恢复,促进骨折的愈合。同时,内固定物可以提供稳定的支撑,避免骨折端的移位,有利于骨折的愈合。

  3. 预防并发症:胫骨平台粉碎性骨折如果不进行手术治疗,可能会导致一系列并发症,如关节僵硬、骨关节炎、肌肉萎缩等。切开复位内固定术可以有效地预防这些并发症的发生,提高患者的生活质量。

  4. 早期恢复功能:切开复位内固定术可以在骨折固定后,早期进行康复训练,促进关节的功能恢复。通过早期的功能锻炼,可以减少肌肉萎缩、关节僵硬等并发症的发生,提高患者的康复效果。

总之,右胫骨平台粉碎性骨折患者切开复位内固定术是一种重要的治疗方法,可以恢复关节稳定性,促进骨折愈合,预防并发症,并早期恢复功能。患者应积极接受手术治疗,并在术后进行康复训练,以获得更好的治疗效果。

右胫骨平台粉碎性骨折患者切开复位内固定术治疗的重要性

原文地址: https://www.cveoy.top/t/topic/iWd8 著作权归作者所有。请勿转载和采集!

免费AI点我,无需注册和登录