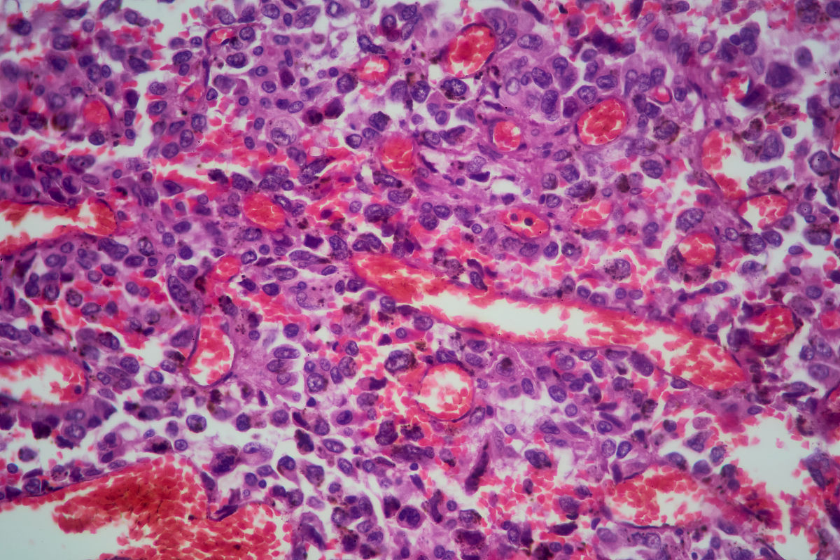
根据您提供的信息,复查结论显示肺组织中存在低分化癌浸润,并且部分细胞出现了退变。这意味着低分化腺癌在肺组织中重新出现,并且部分癌细胞发生了退变。

根据这个结论,可以初步判断为复发。复发是指在原发癌症治疗后,癌细胞重新出现或扩散到其他部位。低分化腺癌的复发通常是指癌细胞重新出现在原发肿瘤的位置或其周围组织中。

然而,最终的诊断还需要结合临床资料和医生的判断。建议您与医生详细讨论复查结果,以了解确切的诊断和后续治疗措施。

曾经被诊断为低分化腺癌并接受过治疗。低分化腺癌复查结论为:肺组织中见低分化癌浸润部分细胞伴退变。怎么解读这个结论属于复发吗?

原文地址: https://www.cveoy.top/t/topic/iQCv 著作权归作者所有。请勿转载和采集!

免费AI点我,无需注册和登录