左肺恶性肿瘤
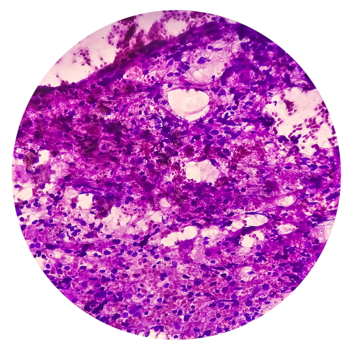
左肺恶性肿瘤是指发生在左肺组织中的恶性肿瘤。肺癌是最常见的左肺恶性肿瘤,其中大多数是非小细胞肺癌。其他少见的左肺恶性肿瘤包括肺泡细胞癌、小细胞肺癌、腺样囊性癌、大细胞癌等。一些症状包括咳嗽、咳痰、呼吸困难、胸痛、体重下降等。治疗包括手术、放疗、化疗和靶向治疗等。
原文地址: https://www.cveoy.top/t/topic/hvvp 著作权归作者所有。请勿转载和采集!
安全问答是一个知识全球问答,包含丰富的问答知识
左肺恶性肿瘤是指发生在左肺组织中的恶性肿瘤。肺癌是最常见的左肺恶性肿瘤,其中大多数是非小细胞肺癌。其他少见的左肺恶性肿瘤包括肺泡细胞癌、小细胞肺癌、腺样囊性癌、大细胞癌等。一些症状包括咳嗽、咳痰、呼吸困难、胸痛、体重下降等。治疗包括手术、放疗、化疗和靶向治疗等。
原文地址: https://www.cveoy.top/t/topic/hvvp 著作权归作者所有。请勿转载和采集!