肺结节越来越多,什么样的才需要手术?密度和大小揭示真相!

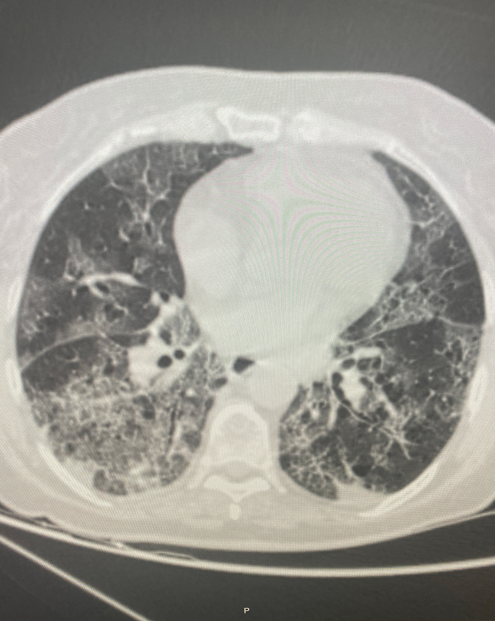
给以下文案写一个标题党的标题现在啊随着薄层CT的普及和大家对于体检的重视发现肺结节的患者越来越多了那什么样的肺结节需要手术呢?简单来说啊就是当怀疑肺部小结节可能是恶性病变的时候就要考虑进行手术了。临床上通过判断肺小结节的大小和密度来区分良恶性。首先让我们来谈谈结节的密度不同密度的肺小结节有不同的恶性概率。根据结节的密度可以将肺结节分为实性结节、部分实性结节和磨玻璃密度结节。其中部分实性结节的恶性概

原文地址: https://www.cveoy.top/t/topic/h48h 著作权归作者所有。请勿转载和采集!

免费AI点我,无需注册和登录