安全问答

安全问答是一个知识全球问答,包含丰富的问答知识

首页 常规 游戏 娱乐 科技

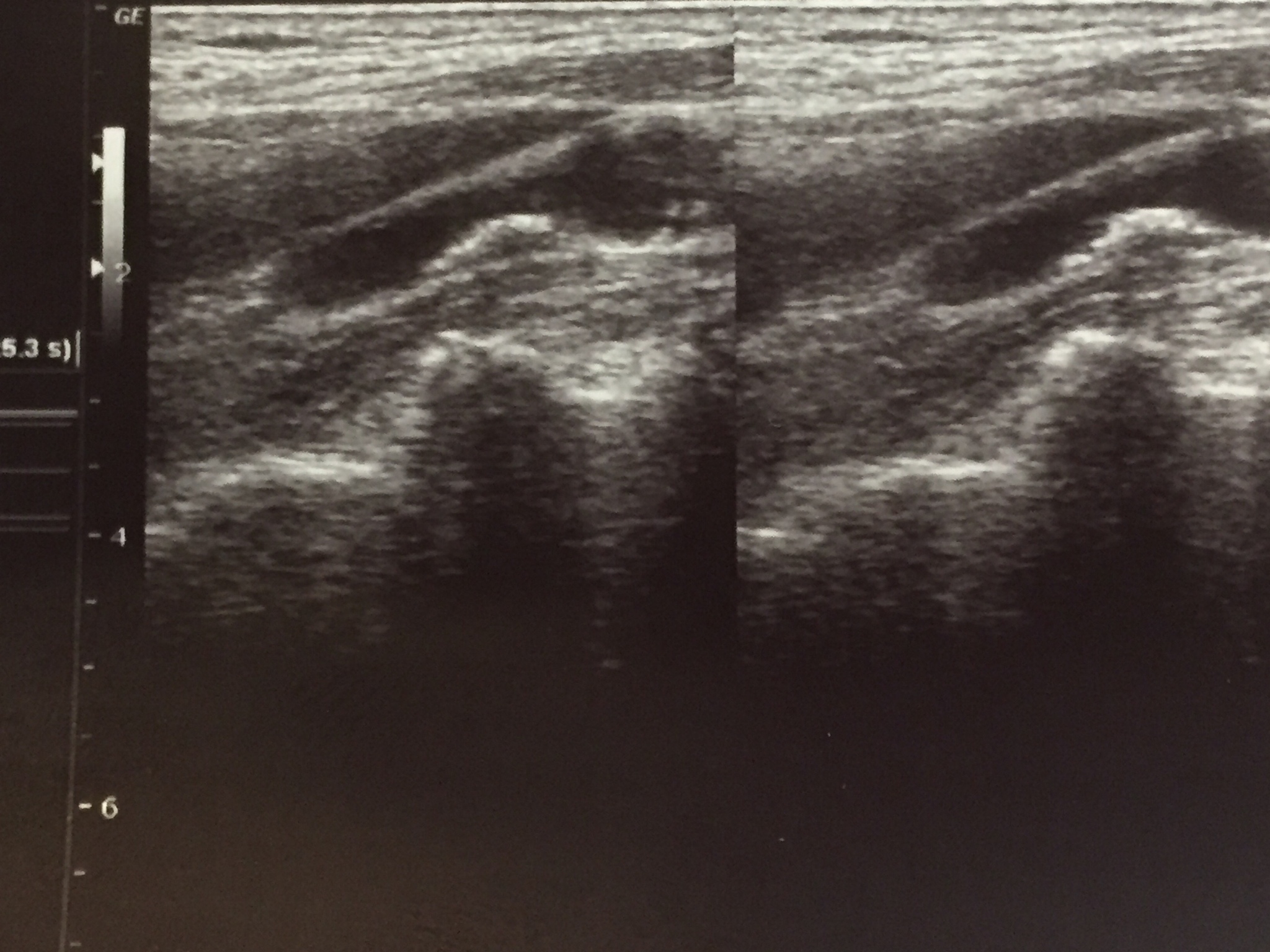
颈动脉搏动与斑块远端运动的潜在联系

  • 日期: 2026-12-02 12:32:54
  • 标签: 常规

研究发现,颈动脉斑块的远端似乎与微弱的回声存在联系。此外,观察到斑块的远端运动与颈动脉的搏动轻微同步。

颈动脉搏动与斑块远端运动的潜在联系

原文地址: https://www.cveoy.top/t/topic/fZxt 著作权归作者所有。请勿转载和采集!

免费AI点我,无需注册和登录

  • 上一篇: 牌匾远端与颈动脉搏动同步移动的现象
  • 下一篇: Carotid Plaque: Distal End Movement and Low Echo Characteristics

© 2019 • 2025 - 安全问答 站长邮箱:wxgpt@qq.com    ICP备案/许可证号:豫ICP备2024104334号-2