Broström-Gould 手术技术方法是一种用于治疗慢性踝关节稳定性不良的手术方法。这种手术方法主要用于修复踝关节韧带损伤或断裂,以恢复踝关节的稳定性。

Broström-Gould 手术的主要步骤包括以下几个方面:

  1. 切口:在踝关节外侧进行小切口,以便进入踝关节。

  2. 韧带修复:通过切口将踝关节韧带进行修复。通常会使用缝线或其他强度高的材料将韧带重新连接在踝骨或腓骨上。

  3. 韧带重建:如果韧带损伤严重,无法进行修复,则可能需要进行韧带重建手术。这种情况下,医生会使用患者自身的肌腱或其他组织来重建踝关节韧带。

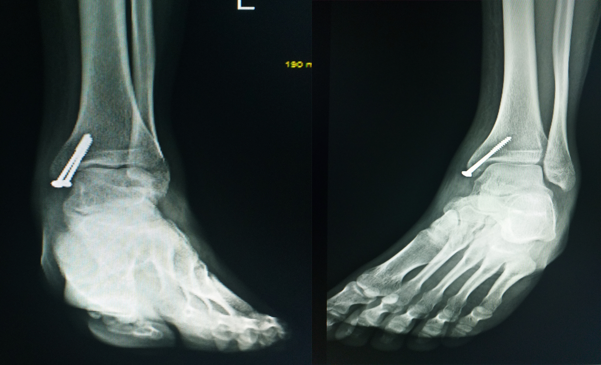
  4. 关节固定:在韧带修复或重建完成后,医生可能会使用金属螺钉、钢板或其他固定材料来稳定踝关节。

  5. 伤口缝合:最后,医生会将切口缝合起来,以促进伤口愈合。

Broström-Gould 手术技术方法在治疗慢性踝关节稳定性不良方面被广泛使用,并且已经被证明是一种有效的治疗方法。然而,手术后需要进行康复训练和物理治疗,以帮助患者恢复踝关节的功能和稳定性。

Broström-Gould 手术:治疗慢性踝关节不稳定的有效方法

原文地址: https://www.cveoy.top/t/topic/fPVv 著作权归作者所有。请勿转载和采集!

免费AI点我,无需注册和登录