安全问答

安全问答是一个知识全球问答,包含丰富的问答知识

首页 常规 游戏 娱乐 科技

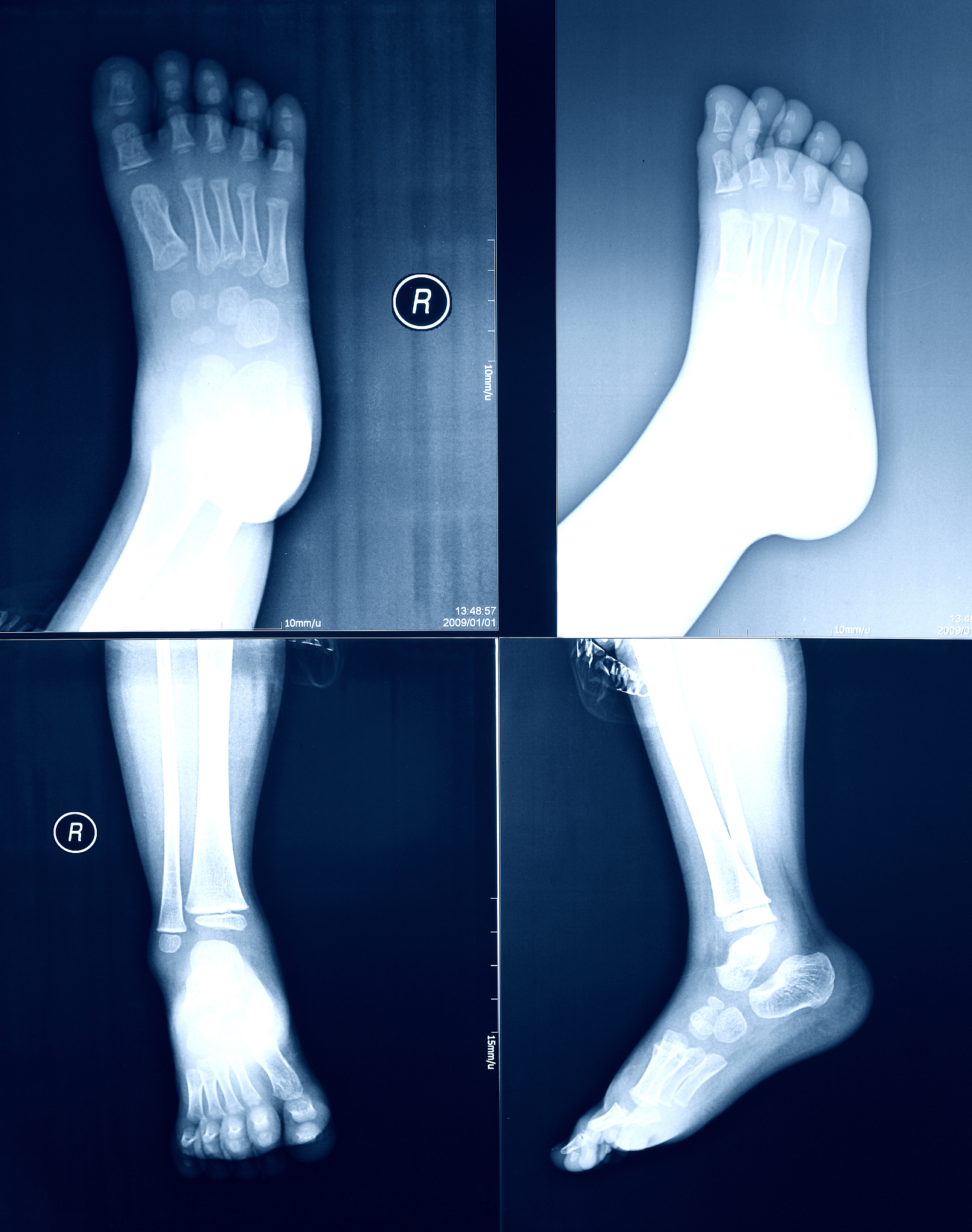
距腓前韧带修复术:简单可靠,稳定疼痛,功能恢复佳

  • 日期: 2024-09-22 13:35:03
  • 标签: 常规

该手术方法专注于修复和紧缩'距腓前韧带',手术操作简单且可靠,术后关节稳定性明显提高,疼痛显著减轻,功能恢复良好,临床效果令人满意。

距腓前韧带修复术:简单可靠,稳定疼痛,功能恢复佳

原文地址: https://www.cveoy.top/t/topic/ecg5 著作权归作者所有。请勿转载和采集!

免费AI点我,无需注册和登录

  • 上一篇: 贵阳市中职学校贵州省旅游学校在什么地方
  • 下一篇: 四川2021年初中生可以去电子商务学校吗

© 2019 • 2025 - 安全问答 站长邮箱:wxgpt@qq.com    ICP备案/许可证号:豫ICP备2024104334号-2