面部ct图数据集
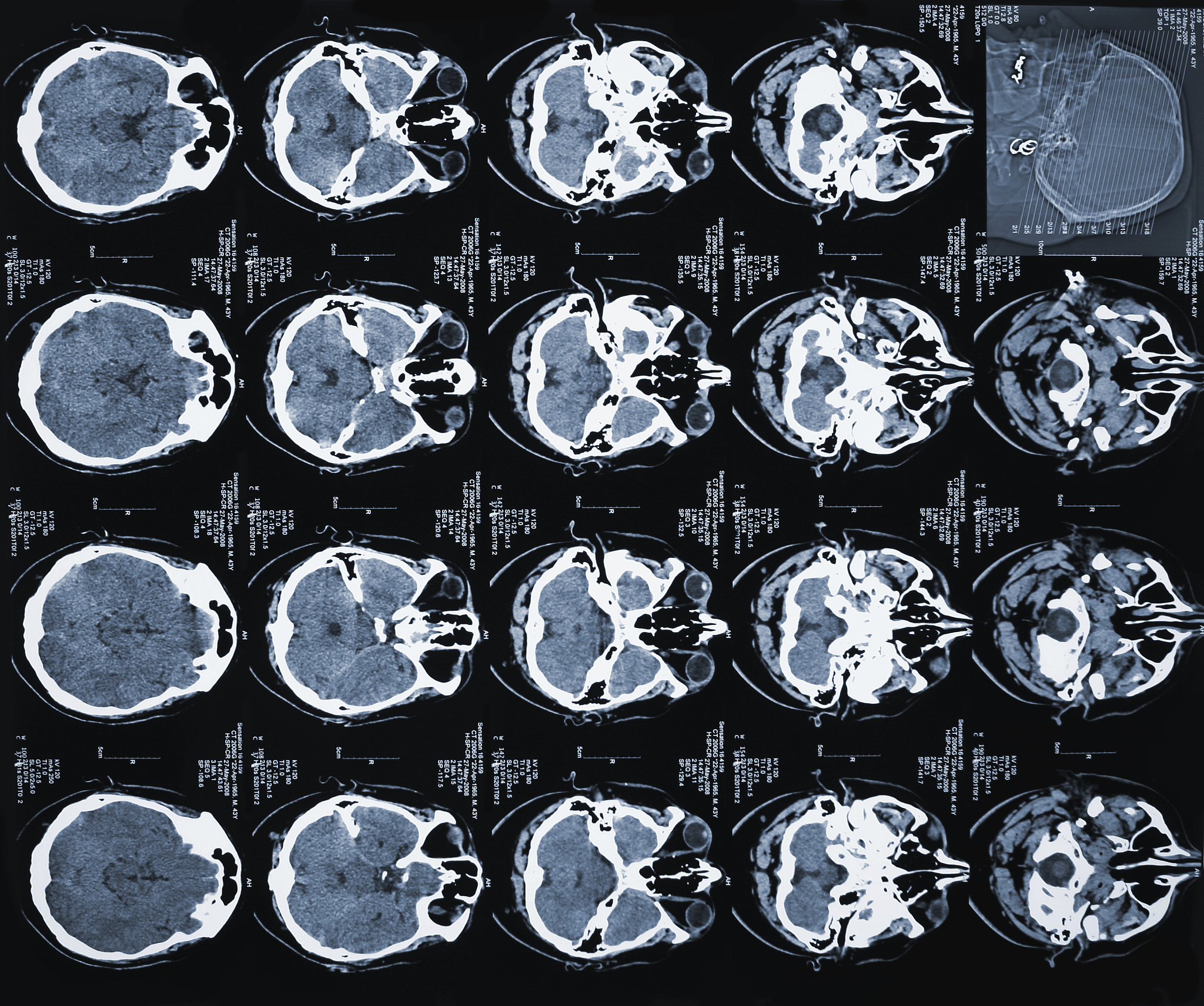
面部CT图数据集是由医学影像数据组成的数据集,包含了人类面部的CT(计算机断层扫描)图像。这些图像通常用于诊断和治疗面部组织和骨骼的疾病,例如面部骨折、颌骨疾病和口腔颌面外科手术等。面部CT图数据集通常包括多个层面的图像,可以用于3D重建和可视化。这些数据集可用于机器学习算法的训练和测试,以自动化面部疾病的诊断和治疗。
原文地址: https://www.cveoy.top/t/topic/cVuE 著作权归作者所有。请勿转载和采集!
安全问答是一个知识全球问答,包含丰富的问答知识
面部CT图数据集是由医学影像数据组成的数据集,包含了人类面部的CT(计算机断层扫描)图像。这些图像通常用于诊断和治疗面部组织和骨骼的疾病,例如面部骨折、颌骨疾病和口腔颌面外科手术等。面部CT图数据集通常包括多个层面的图像,可以用于3D重建和可视化。这些数据集可用于机器学习算法的训练和测试,以自动化面部疾病的诊断和治疗。
原文地址: https://www.cveoy.top/t/topic/cVuE 著作权归作者所有。请勿转载和采集!