安全问答

安全问答是一个知识全球问答,包含丰富的问答知识

首页 常规 游戏 娱乐 科技

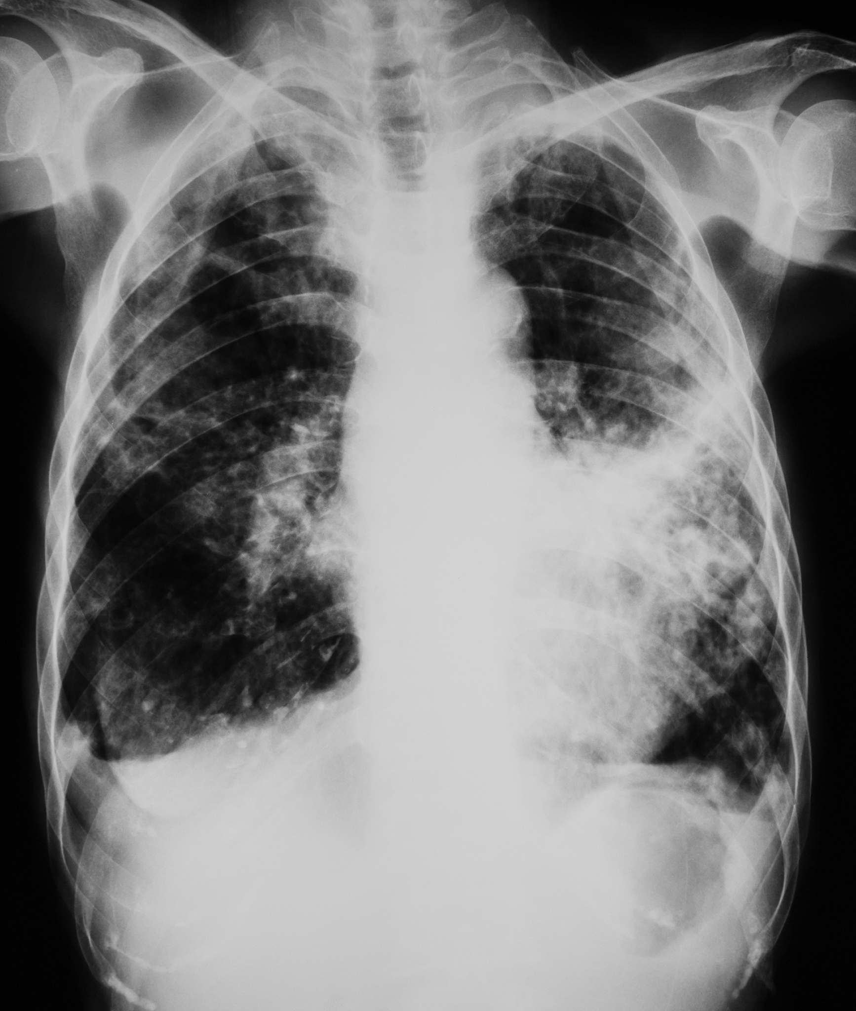
患者X线胸片示右肺上叶后段薄壁空洞直径4cm内有较小的液面空洞周围肺内有渗出病变右下叶及左肺中下野有多发斑片状渗出。最可能的诊断为

  • 日期: 2028-12-06 02:39:11
  • 标签: 健康养生

肺结核(空洞型)

患者X线胸片示右肺上叶后段薄壁空洞直径4cm内有较小的液面空洞周围肺内有渗出病变右下叶及左肺中下野有多发斑片状渗出。最可能的诊断为

原文地址: https://www.cveoy.top/t/topic/bz6G 著作权归作者所有。请勿转载和采集!

免费AI点我,无需注册和登录

  • 上一篇: 帮我用vue一个判断地址是图片还是视频
  • 下一篇: 英文论文撰写的注意事项 详细阐述 200词

© 2019 • 2025 - 安全问答 站长邮箱:wxgpt@qq.com    ICP备案/许可证号:豫ICP备2024104334号-2