肾贫血性梗死镜下特点
肾贫血性梗死镜下特点包括:
-
肾小动脉和小动脉分支的血管内皮细胞肿胀和坏死。
-
肾小动脉和小动脉分支的管壁增厚,管腔狭窄或闭塞。
-
肾小球毛细血管丢失,肾小球内血管扩张,肾小球基底膜增厚。
-
肾小球内血栓形成。
-
肾小管上皮细胞变性、坏死,肾小管腔内可见红细胞管型。
-
肾间质水肿、炎症细胞浸润。
-
肾组织缺氧、坏死和纤维化。
原文地址: https://www.cveoy.top/t/topic/bXuW 著作权归作者所有。请勿转载和采集!
安全问答是一个知识全球问答,包含丰富的问答知识
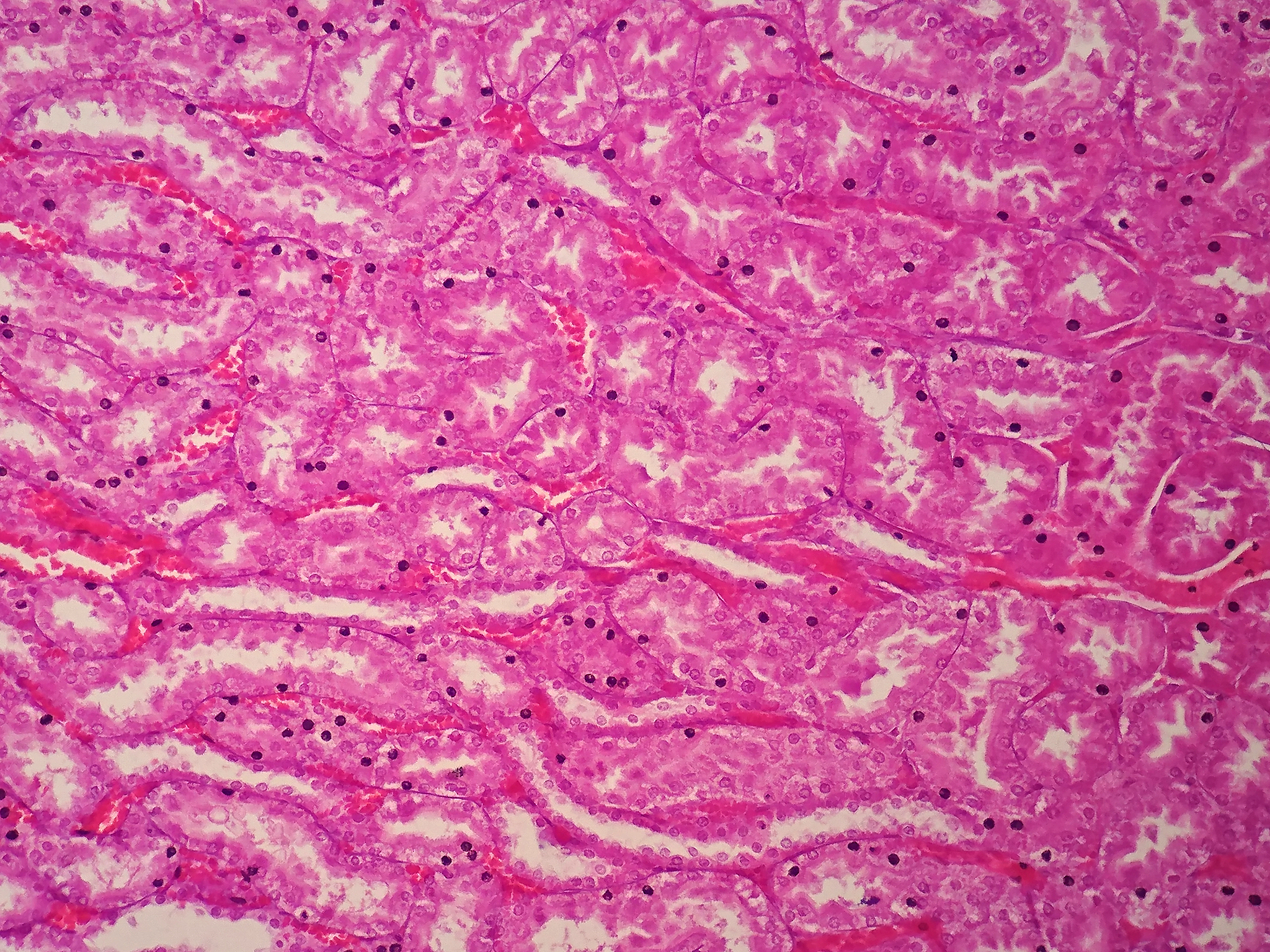
肾贫血性梗死镜下特点包括:
肾小动脉和小动脉分支的血管内皮细胞肿胀和坏死。
肾小动脉和小动脉分支的管壁增厚,管腔狭窄或闭塞。
肾小球毛细血管丢失,肾小球内血管扩张,肾小球基底膜增厚。
肾小球内血栓形成。
肾小管上皮细胞变性、坏死,肾小管腔内可见红细胞管型。
肾间质水肿、炎症细胞浸润。
肾组织缺氧、坏死和纤维化。
原文地址: https://www.cveoy.top/t/topic/bXuW 著作权归作者所有。请勿转载和采集!