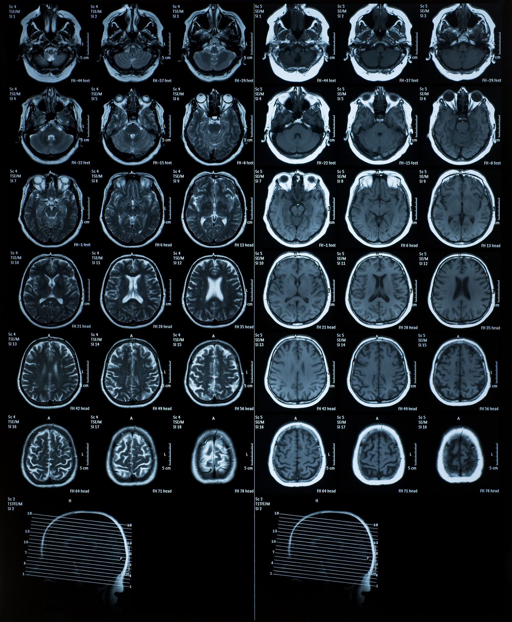
患者近期接受了右额颞部位手术,术后行MRI检查评估恢复情况。影像结果显示:

1. 术区改变:

  • 右额颞顶部骨质呈术后改变,提示手术区域骨组织愈合情况良好。
  • 骨瓣下右额颞可见片状T1WI低信号和T2WI高信号,周围可见少量FLAIR略高信号,DWI示术区弥散未受限。这可能与术后组织水肿、炎症或胶质增生有关,需结合临床症状和病史进行判断。
  • 增强扫描后术区脑膜可见线样轻度强化,提示术后脑膜可能存在轻度炎症反应,需密切随访观察。

2. 其他发现:

  • 双额顶叶皮层下可见斑点状T1WI等T2WI高信号,FLAIR序列示为略高信号,边界不清。这可能与多种因素有关,例如小血管病变、胶质增生等,需结合临床进一步明确诊断。
  • 蝶鞍不大,垂体形态及信号未见明显异常,提示蝶鞍及垂体目前未受明显影响。
  • 右侧脑室颞角扩大变形,局部脑沟裂欠规则,可能与先前的病变或手术影响有关。
  • 中线结构居中,扫描所示鼻窦及双侧眼球未见明显异常,提示颅内结构总体保持稳定。

总结: MRI结果显示右额颞部位术后改变符合预期,但仍需结合临床信息综合判断。建议患者定期复查,密切关注术后恢复情况,以及其他影像学发现的进展。如有任何疑问,请咨询专业医生。

右额颞术后MRI影像分析:骨质改变、脑膜强化及其他发现

原文地址: https://www.cveoy.top/t/topic/bUhK 著作权归作者所有。请勿转载和采集!

免费AI点我,无需注册和登录