肾脏的恢复能力是有限的,但具体情况需要根据病因、病情、治疗措施等因素综合考虑。对于肾小球硬化、纤维性新月体等病变,已经发生的损伤很难逆转,但可以通过控制病情、减轻症状、延缓病程等方式来保护肾功能。对于轻度的肾小管萎缩、肾小管上皮细胞窄泡变性等病变,有一定的恢复可能。因此,需要积极治疗、科学饮食、避免不良习惯、定期监测肾功能等措施来保护肾脏健康。

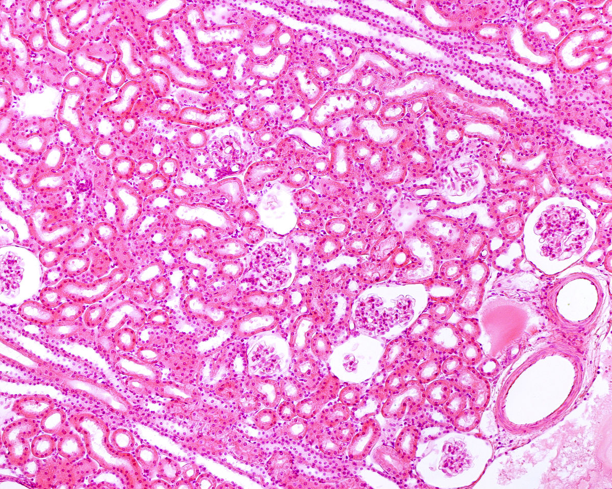
肾组织 1 条肾小球 15-20个皮质和髓质。3-1 个肾小球球性硬化5-6 个肾小球节段毛细血管腔内细胞增多伴单个核细胞、中性粒细胞浸润1-1个肾小球伴大细胞纤维性新月体形成1-2个肾小球节段硬化伴小纤维或纤维细胞性新月体形成0-3个肾小球包氏囊纤维化伴毛细血管襟皱缩余肾小球部分系膜区系膜基质轻度增多或伴系膜细胞轻度增生。肾间质灶性水肿轻度灶性纤维增生中度灶性炎细胞浸润单核细胞、淋巴细胞、浆细胞

原文地址: https://www.cveoy.top/t/topic/bEjx 著作权归作者所有。请勿转载和采集!

免费AI点我,无需注册和登录