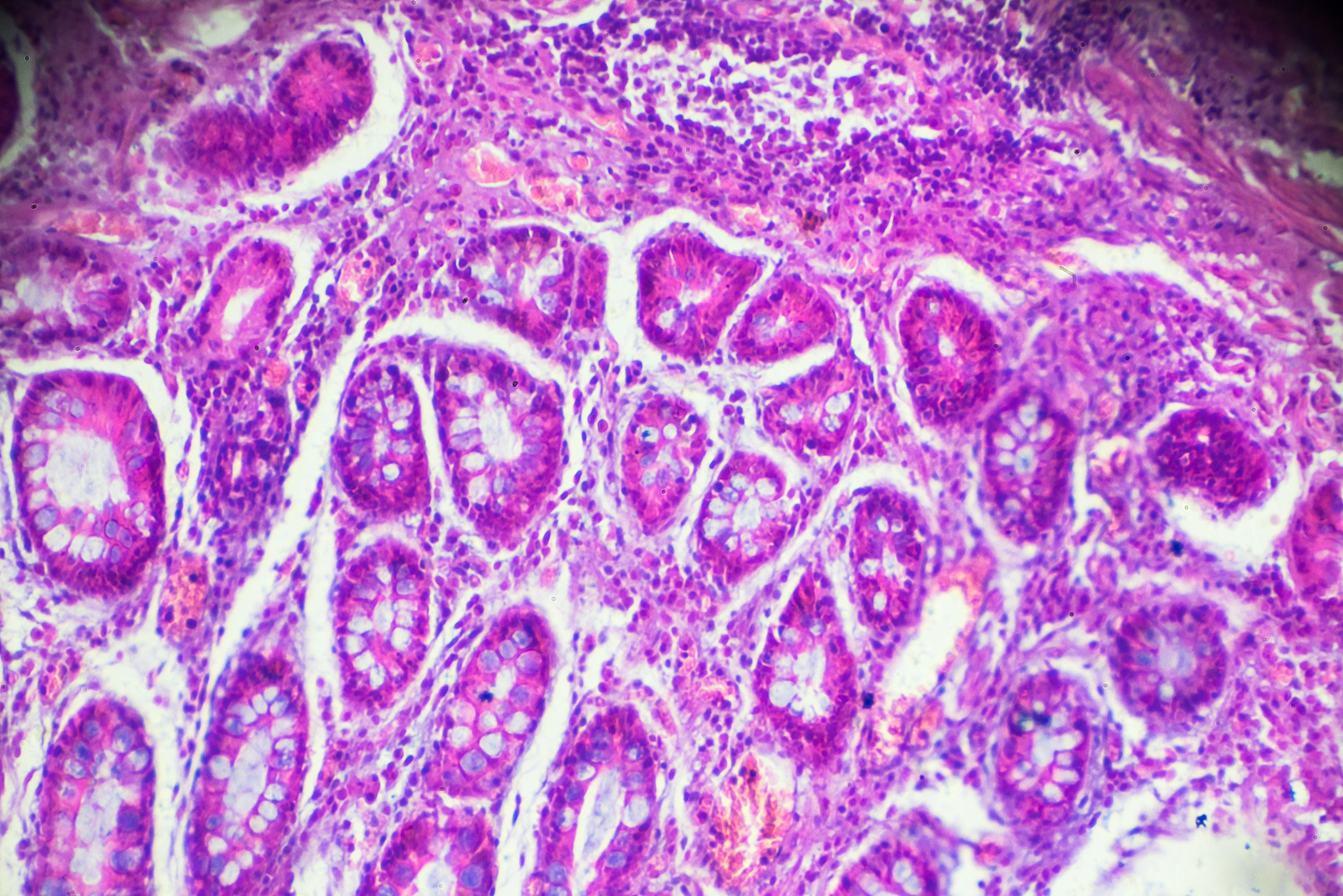
胃早癌是指胃黏膜内的癌变,通常没有症状,难以被发现。但是如果不及时治疗,胃早癌会逐渐发展成为晚期癌症,对患者的健康造成威胁。胃镜是一种常用的检查方法,可以检查胃部疾病,包括胃早癌。下面我们将探讨胃镜诊断胃早癌的价值。

首先,胃镜可以直接观察胃黏膜的变化。胃早癌的早期症状非常不明显,但是在胃黏膜的局部区域可能会出现变色、糜烂、隆起等异常表现。胃镜可以通过显微镜观察到这些细微的变化,诊断胃早癌。

其次,胃镜可以采集组织样本进行病理学检查。胃黏膜内的癌变通常会伴随有细胞学和组织学的变化,胃镜可以采集组织样本进行病理学检查,以确定是否存在癌细胞。这种方法准确性很高,可以帮助医生确定病变的类型和严重程度。

最后,胃镜可以同时进行治疗和诊断。对于小面积的胃早癌,胃镜可以进行局部治疗,例如黏膜下剥离术或者烧灼术。这种方法可以在诊断的同时进行治疗,有效地避免了手术的创伤和并发症。

尽管胃镜诊断胃早癌具有很高的准确性和价值,但是也存在一些问题。首先,胃镜需要插入口腔和食管,会对患者造成一定的不适和痛苦。其次,胃镜需要专业的医生进行操作,对医疗资源的要求较高。

总之,胃镜是一种非常有效的诊断胃早癌的方法。它可以直接观察胃黏膜的变化,采集组织样本进行病理学检查,同时进行治疗和诊断。然而,胃镜也存在一定的问题,需要在医生的指导下进行。

你可以写一篇关于胃镜诊断胃早癌价值的综述吗

原文地址: https://www.cveoy.top/t/topic/bBxF 著作权归作者所有。请勿转载和采集!

免费AI点我,无需注册和登录