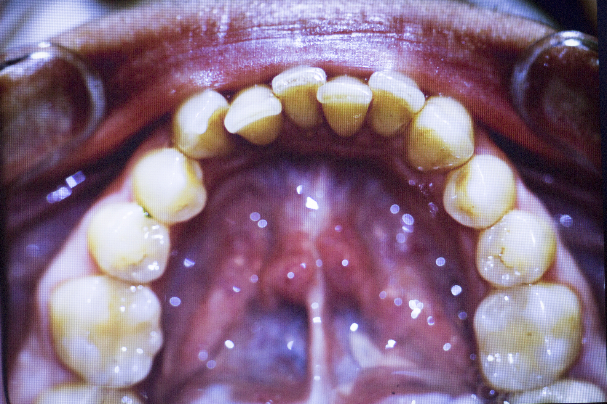
蛀牙严重时,牙齿表面的珐琅质、牙本质和牙髓可能会受到破坏。症状包括:

  1. 牙痛:牙齿受到腐蚀后,牙髓和牙根可能会受到刺激,从而导致牙痛。

  2. 牙齿敏感:腐蚀会导致牙齿表面的珐琅质减少,从而使牙齿更加敏感。

  3. 黄牙:腐蚀会导致牙齿的颜色变黄。

  4. 口臭:腐蚀会导致口腔中的菌群增加,从而导致口臭。

  5. 牙齿松动:如果腐蚀严重,牙齿可能会变得松动,最终导致牙齿脱落。

因此,预防蛀牙非常重要,应该定期刷牙、使用牙线、少吃含糖食物和饮料,以及接受定期的口腔检查和清洁。如果出现蛀牙,应尽早进行治疗,以避免症状加重。

蛀牙严重时会怎样?

原文地址: https://www.cveoy.top/t/topic/DIH 著作权归作者所有。请勿转载和采集!

免费AI点我,无需注册和登录