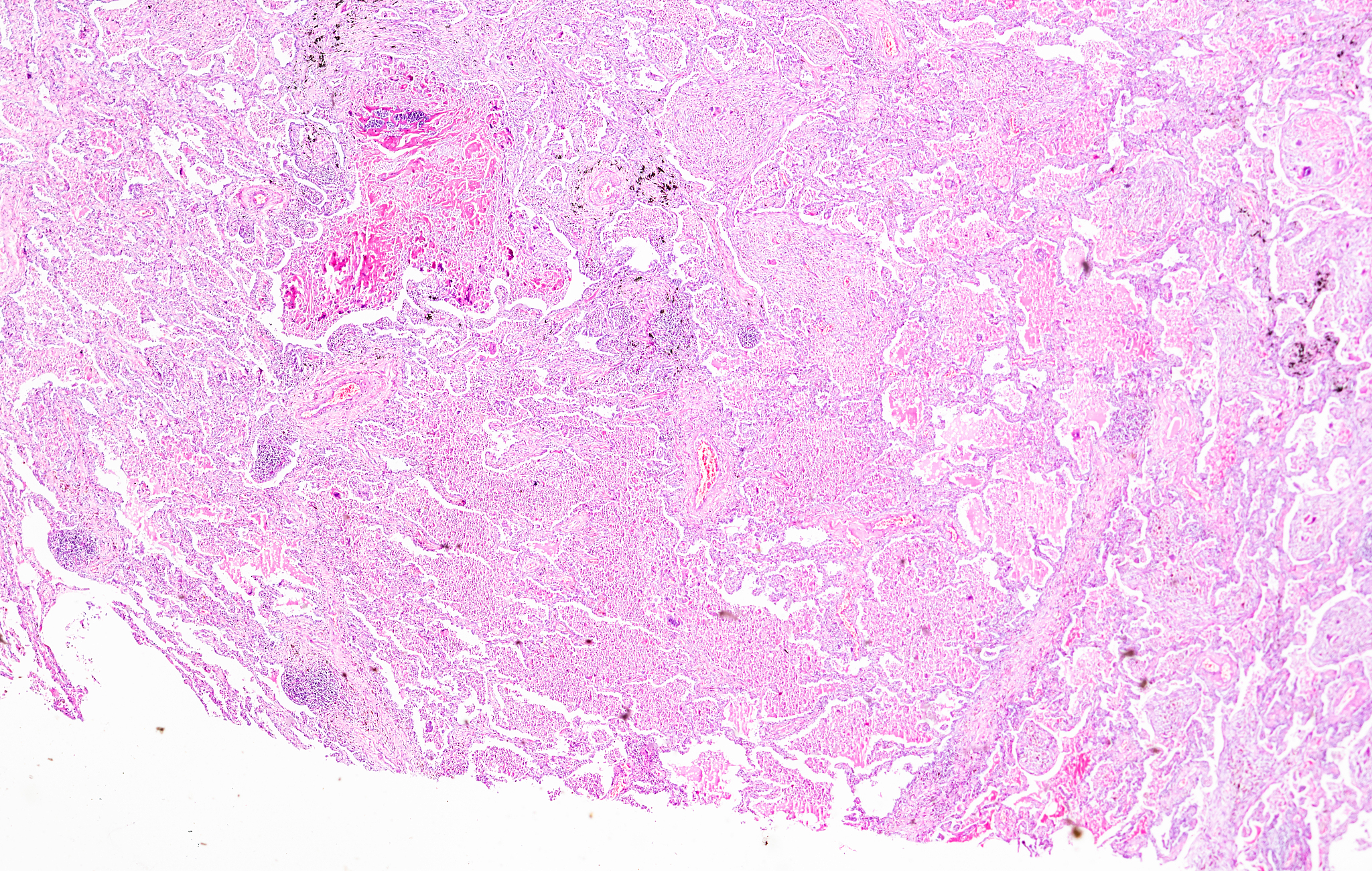
肉芽肿性炎症由上皮样组织细胞团块和多形性炎性浸润混合而成,有时伴有凝固性坏死。孤立存在的肉芽肿是一个非特异性的发现。然而,在临床病史的基础上,肉芽肿的存在可以帮助缩小鉴别诊断范围并指导进一步的检查。这种模式的典型关联是结核和结节病,但它们也可以在其他真菌感染或对外来物质或恶性肿瘤的反应中看到。清单:肉芽肿模式的病因学考虑。

翻译:Granulomatous inflammation consists of nodular aggregates of epithelioid histiocytes mixed with a polymorphous inflammatory infiltrate with or without coagulative necrosis In isolation granulomas are

原文地址: https://www.cveoy.top/t/topic/51d 著作权归作者所有。请勿转载和采集!

免费AI点我,无需注册和登录